 
															Rayos X / Radiografías
									Contamos con un moderno equipo radiográfico, que nos permite la ayuda diagnóstica de las patologías de nuestros pacientes. Con este examen auxiliar podemos plantear el tratamiento adecuado.								
				
			
							
				Radiografías por segmento				
						
		
						
Son las imágenes para cada segmento anatómico sea diáfisis o zonas articulares del cuerpo, para determinar posibles lesiones como fracturas, luxaciones o artrosis.
*Rx. de clavícula.
*Rx. de cráneo.
*Rx. de tórax.
*Rx. de región cervical.
*Rx. de región dorsal.
*Rx. de región lumbar.
*Rx. de región sacra.
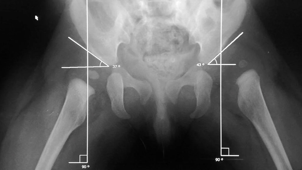
*Rx. de pelvis.
*Rx. de fémur ( muslo).
*Rx. de pierna ( tibia y peroné).
*Rx. de brazo (húmero).
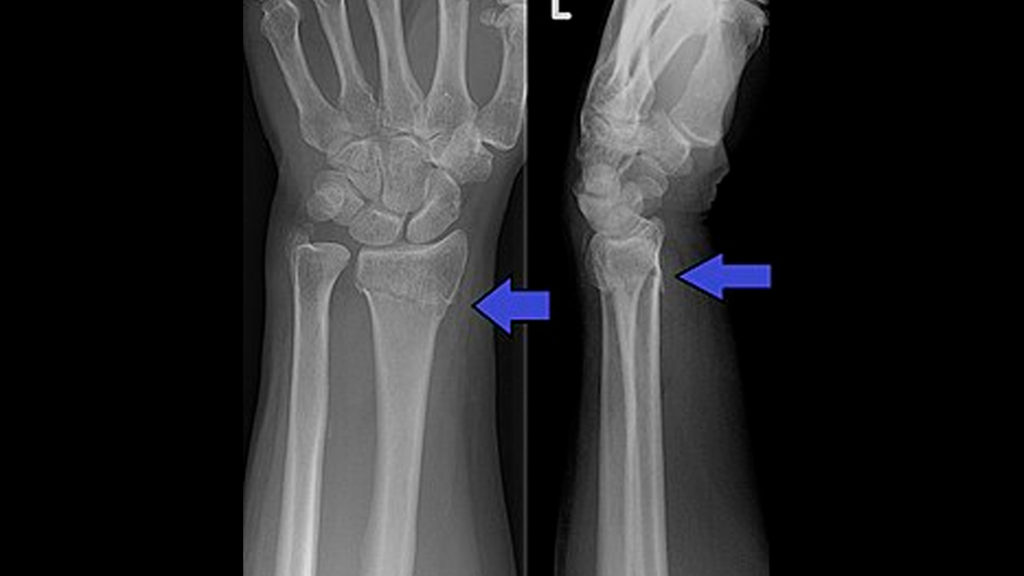
*Rx. de antebrazo (radio y cúbito).
*Rx. de mano.
*Rx. de pie.
*Rx. de codo.
*Rx. de hombro.
*Rx. de rodilla.
*Rx. de tobillo.
			
							
				Telerradiografía o radiografías panorámicas				
						
		
						
Son radiografías especiales tomadas a mayor distancia del individuo en donde se podrá apreciar varios segmentos a la vez:
Columna (cervical- dorsal-lumbar y sacra).
Miembros inferiores (pelvis-fémur -tibia/peroné- tobillos).
Miembros superiores (hombros- húmero -codo- radio/cúbito- muñecas).
Sirven para determinar:
Dismetrías, mal alindamientos, torsiones, consolidaciones viciosas.
			
							
				Radiografías comparativas				
						
		
						
Es la radiografía tomada de ambos lados derecho e izquierdo de un segmento específico para determinar pequeños cambios imperceptibles al ojo humano mediante la comparación de ambos lados.
			
							
				Radiografía especializada en ortopedia infantil				
						
		
						
 
				